

Денющенков Вадим Леонидович
Стоматолог-ортопед, ортодонт, гнатолог
Стаж: Стаж: более 13 лет
Ведущий специалист по эстетической и функциональной реабилитации, медицинский куратор.
Консультация до 31 октября бесплатно (для первичных пациентов)
Быстрая запись к врачу
Консультация до 31 октября бесплатно (для первичных пациентов)
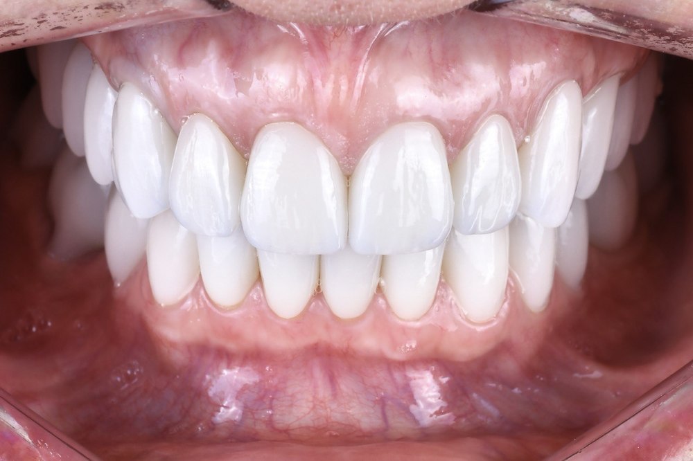
Фото работ специалиста
Тотальная реабилитация безметаловыми коронками высокой эстетики
Тотальная реабилитация безметаловыми коронками высокой эстетики
Тотальная реабилитация безметаловыми коронками высокой эстетики
Тотальная реабилитация безметаловыми коронками высокой эстетики
Тотальная реабилитация безметаловыми коронками высокой эстетики
Тотальная реабилитация безметаловыми коронками высокой эстетики
Тотальная реабилитация безметаловыми коронками высокой эстетики
Тотальная реабилитация безметаловыми коронками высокой эстетики
Тотальная реабилитация безметаловыми коронками высокой эстетики
Тотальная реабилитация безметаловыми коронками высокой эстетики
Тотальная реабилитация безметаловыми коронками высокой эстетики
Тотальная реабилитация безметаловыми коронками высокой эстетики
Тотальная реабилитация безметаловыми коронками высокой эстетики
Тотальная реабилитация безметаловыми коронками высокой эстетики
Тотальная реабилитация безметаловыми коронками высокой эстетики
Тотальная реабилитация безметаловыми коронками высокой эстетики
Фото работ ортодонтическое лечение
Ортодонтическое лечение на брекет системе. срок 30 месяцев
Ортодонтическая коррекция. Фото до/после
Работа по ортодонтической коррекции до/после
Работа по ортодонтической коррекции до/после
Доктор за работой
Доктор за работой. Цифровой протокол, 3 D сканирование полости рта. Сканер Prime Scan Dent Sply Sirona.
Образование
- 2010 г. — Смоленская Государственная Медицинская Академия. Диплом с отличием. г.Смоленск.
- 2011 г. — Удостоверение об окончании интернатуры по специальности «Стоматология общей практики» ГОУ ВПО «Смоленская Государственная Медицинская Академия Федерального агентства по здравоохранению и социальному развитию». г.Смоленск.
- 2011 г. — Сертификат по «Стоматологии общей практики» ГОУ ВПО «Смоленская Государственная Медицинская Академия Федерального агентства по здравоохранению и социальному развитию». г.Смоленск.
- 2013 г. — Диплом о профессиональной образовании (ординатура) по специальности «Ортодонтия» ГОУ ВПО «Смоленская Государственная Медицинская Академия Федерального агентства по здравоохранению и социальному развитию». г.Смоленск
- 2013 г. — Сертификат специалиста по специальности «Ортодонтия» ГОУ ВПО «Смоленская Государственная Медицинская Академия Федерального агентства по здравоохранению и социальному развитию». г.Смоленск.
- 2014 г. — Диплом о профессиональной переподготовке по специальности «Стоматология ортопедическая» на базе Российского Университета Дружбы Народов (РУДН) г.Москва.
- 2014 г. — Сертификат специалиста по специальности «Стоматология ортопедическая» на базе Российского Университета Дружбы Народов (РУДН) г.Москва.
- 2016 г. — Диплом о профессиональной переподготовке «Организация здравоохранения и общественное здоровье» НОЧУ ДПО УИЦ «КОМПия» г.Йошкар-Ола.
- 2016 г. — Сертификат специалиста по специальности «Организация здравоохранения и общественное здоровье» НОЧУ ДПО УИЦ «КОМПия» г.Йошкар-Ола.
- 2018 г. — Удостоверение о повышение квалификации по программе «Ортодонтия», Автономная некоммерческая организация дополнительного профессионального образования «Академия инновационной стоматологии» г.Москва.
- 2018 г. — Сертификат специалиста по специальности «Ортодонтия», Автономная некоммерческая организация дополнительного профессионального образования «Академия инновационной стоматологии» г.Москва.
- 2018 г. — Удостоверение о повышение квалификации по программе «Стоматология ортопедическая», Автономная некоммерческая организация дополнительного профессионального образования «Академия инновационной стоматологии» г.Москва.
- 2018 г. — Сертификат специалиста по специальности «Стоматология ортопедическая», Автономная некоммерческая организация дополнительного профессионального образования «Академия инновационной стоматологии» г.Москва.
Сертификаты. Повышение квалификации
- 2013 г. — Ортопедический курс по системе имплантатов Bicon
- 2014 г. — Сертификат «Реконструкция улыбки» Протокол современного ортопедического лечения керамическими реставрациями с опорой на естественных зубах и имплантатах
- 2015 г. — Сертификат «Техники компьютерного анализа окклюзии аппаратом T-Scan III. Авторский курс Р. Керстена»
- 2015 г. — «Эстетическая реабилитация: традиции или инновации»
- 2016 г. — Сертификат «Nobel Biocare Study Club. Специальный вводный курс по системе All-on-4»
- 2016 г. — Сертификат «Диагностический протокол ортодонтического пациента. Современный взгляд»
- 2016 г. - «Решение окклюзионных проблем с помощью лицевой дуги и артикулятора в ежедневной работе клиники и лаборатории»
- 2017 г. — Полная комплексная реабилитация: от лечения естественных зубов до имплантации
- 2017 г. — «Фотографию в стоматологии. Курс для начинающих»
- 2018 г. — «Планирование ортопедического лечения»
- 2018 г. — «День цифрового дизайна»
- 2018 г. — «Эстетические возможности ортодонтического лечения при использовании нового поколения систем пассивного самолигирования»
- 2018 г. — Основы гнатологии в стоматологической практике
- 2018 г. — Протоколы Франкфуртского Университета по протезированию на имплантатах: объединяя новейшие технологии и многолетний опыт работы.
- 2018 г. — Революционные решения сложных клинических случаев для полного съемного и несъёмного протезирования. Протезирование на имплантата по техникам all-on-4, overdenture
- 2019 г. — Немедленная нагрузка — от включенного дефекта до полной адентии.
- 2019 г. — Определение центрального соотношения инструментальным и мануальным методами
- 2019 г. — Третий Международный Стоматологический Конгресс Dentsply Sirona World CHГ 2019
- 2019 г. — Концепция Success Simplified
- 2019 г. — Искусство и наука планирования эстетического стоматологического лечения. Проверенные методы, современные технологии и перспективы развития.
- 2020 г. — центр функциональной ортодонтии и протезирования по теме функциональной диагностики и лечения пациентов с мышечно-суставными дисфункциями.